Препарат, назначаемый при болезни почек, восстанавливает функцию яичников
При первичной недостаточности яичников (ПНЯ) у женщины в возрасте до 40 лет отсутствуют зрелые фолликулы. Исследователи из Китая провели скрининг более 1200 препаратов, разрешенных к применению по различным показаниям, и обнаружили, что финеренон, применяемый при хронической болезни почек, способствует созреванию фолликулов в яичниках мышей. Из 14 женщин с ПНЯ, принимавших финеренон несколько месяцев, у всех появились зрелые ооциты. У семи участниц получили зрелые яйцеклетки, в трех случаях провели ЭКО. Авторы исследования связывают этот воздействие финеренона на фертильность с его антифибротическим действием.
Первичная недостаточность яичников (ПНЯ) — потеря функции яичников в возрасте до 40 лет; к 40 годам это состояние встречается у 1–3% женщин. Обычно оно сопровождается бесплодием. Авторы статьи в Science показали, что препарат финеренон, разрешенный к применению при заболеваниях почек, может восстановить фертильность женщины при этом состоянии.
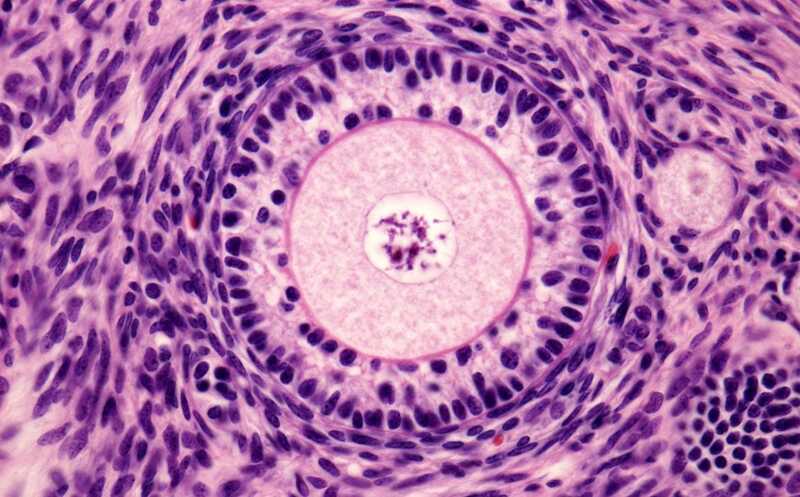
В яичниках пациенток с ПНЯ обычно нет фолликулов (яйцеклеток, окруженных эпителиальными клетками и соединительной тканью) на поздних стадиях развития. Фолликулы на ранних стадиях не отвечают на стимуляцию гонадотропинами, с помощью которых обычно получают яйцеклетки для ЭКО. Тем не менее присутствие незрелых фолликулов делает возможным восстановление фертильности.
Специалист по репродуктивной биологии из Университета Гонконга Куй Лю и его коллеги провели скрининг 1297 лекарств, одобренных FDA США, на мышиных яичниках in vitro. Они обнаружили десять препаратов, увеличивающих экспрессию гена KitL, ассоциированного с развитием фолликулов. (белок KITL связывается с рецепторами ооцита Kit и активирует сигнальный путь PI3K, который и запускает первичную активацию фолликулов). Среди них выбрали финеренон — нестероидный селективный антагонист минералокортикоидных рецепторов, который поддерживает функцию почек и сердечно-сосудистой системы у пациентов с хронической болезнью почек (ХБП), связанной с диабетом 2-го типа. Этот препарат имеет благоприятный профиль безопасности, и его принимают в виде таблеток. При ХБП он подавляет воспаление и фиброз.
На изолированные мышиные фолликулы финеренон не действовал. Однако в исследованиях на тканях яичника новорожденных мышей он способствовал росту фолликулов. Когда его вводили инъекционно или перорально старым мышам, у которых было меньше фолликулов, чем у молодых, развитие фолликулов также наблюдалось. Молодые мыши, получавшие финеренон, приносили больше мышат, чем контрольные. Никакого негативного воздействия на здоровье потомства показано не было.
Секвенирование РНК единичных клеток яичника мыши, в который вводили финеренон, подтвердило, что препарат изменяет активность генов, влияющих на структуру ткани яичников, а именно снижает экспрессию генов коллагена и других белков соединительной ткани. Сайленсинг генов, отвечающих за продукцию коллагена, с помощью коротких интерферирующих РНК, или обработка мышиных яичников другими ингибиторами его продукции (нинтеданиб, руксолитиниб и др.) также способствовали развитие фолликулов.
Эффект финеренона может быть опосредован механическими факторами — развитию фолликулов благоприятствует уменьшение плотности ткани яичника, а также связанное с ними изменение молекулярного сигналинга. Ассоциация между фиброзом и ПНЯ хорошо известна, при этом антифибротические препараты могут замедлять старение яичников у мышей. Даже обработка мышиных яичников в культуре коллагеном и трипсином вызывает выход из ядра белка FOXO3, маркера активации фолликулов, а внешнее давление на яичники препятствует их активации.
Авторы статьи провели небольшое клиническое испытание, в котором 14 женщин с первичной недостаточностью яичников принимали финеренон от двух до семи месяцев (по 20 мг дважды в неделю). УЗИ показало, что в яичниках всех участниц появились фолликулы на поздних стадиях развития. На момент публикации для семи участниц удалось получить зрелые яйцеклетки для ЭКО или замораживания; в трех случаях провели ЭКО и получили эмбрионы. Данных об имплантации эмбрионов пока еще нет. Тем не менее результаты воодушевляющие. Авторы планируют более обширное мультицентровое исследование воздействия финеренона на фертильность при ПНЯ.
Это небольшое исследование имеет очевидные ограничения. Репродуктивный биолог из Университета Аделаиды Ребекка Робкер отмечает в комментарии для Science, что авторы не продемонстрировали напрямую воздействие подавленного фиброза на фолликулы. У исследования не было контрольной группы (что важно, так как в редких случаях беременность у женщины с ПНЯ наступает и без лечения в 5–10% случаев). Все участницы получали гормонозаместительную терапию, а также препарат кломид, способствующий росту фолликулов. Влияние этих факторов должно быть учтено в дальнейших исследованиях.
Так или иначе, воздействие на строму яичника, уменьшающее фиброз, а не на сами фолликулы, может быть эффективной терапевтической стратегией. Можно предположить, что и другие стратегии, модулирующие микроокружение яйцеклетки, также способны продлить функциональное долголетие яичника.
Анастасия Ефименко: «В моей области главное правило — это найти правильную нишу»
Источник
Zexiong Lin, et al. Antifibrotic drug finerenone restores fertility in premature ovarian insufficiency // Science. 5 Feb 2026. Vol 391, Issue 6785. DOI: 10.1126/science.adz407
Меню
Все темы
0






